Der Trächtigkeitskalender wird regelmäßig aktualisiert, so dass Interessenten die Entwicklung verfolgen können.
Dortmund, den 25.11.2015
Dieser Trächtigkeitskalender ist erstellt von www.welpen.de und ist sehr anschaulich und interessant für
den Züchter selber und Besucher der Homepage.
Super gemacht, vielen Dank an www.welpen.de.
1. Woche Für den Fall, dass Ihre Hündin Medikamente nehmen muss, gehen Sie bitte zum Tierarzt und besprechen
Sie die Medikamentenvergabe bevor Sie dem Tier ein Medikament verabreichen. Die Hündin sollte normal
1 - 7 Tag gefüttert und normal bewegt werden. Bitte keine Insektizide benutzen oder Impfungen mit lebend Stoffen verabreichen.
24.11.2015 Erster Deckungstag. Sperma wandert ausserhalb der Gebärmutterschleimhaut. Um die Chancen einer Befruchtung
zu erhöhen, sollte der Deckakt innerhalb von 48 Stunden nach dem ersten Deckakt wiederholt werden.
24.11.2015 Sperma wandert zu den Eileitern. Die Spermien bleiben in den weiblichen Geschlechtsorganen eine Zeitlang
bis befruchtungsfähig. Bei den Säugetieren ist diese Zeit im allgemeinen recht kurz (ca. 24 Std).
25.11.2015
26.11.2015
bis Sperma erreicht die Eileiter, in denen sich reife Eizellen befinden.
27.11.2015
27.11.2015
bis Befruchtung der Eizellen (in den Eileitern).
30.11.2015 Die befruchteten Eizellen wandern in den Gebärmutterhals.
2. Woche Pflege und Haltung der Hündin wie in Woche 1.
8 - 14 Tag
01.12.2015
bis Die Eizellen entwickeln sich zu Blastocyten.
03.12.2015
03.12.2015
bis Die Embryos erreichen die Gebärmutter.
07.12.2015
3. Woche
15 - 21 Tag
Die Hündin leidet möglicherweise unter morgendlicher Übelkeit aufgrund der hormonellen Umstellung
08.12.2015 oder Spannungen in der Gebärmutter. Füttern Sie kleine Mahlzeiten mehrmals am Tag,um gegen die morgendliche Übelkeit zu helfen.
Falls die morgendliche Übelkeit anhält, kann der Tierarzt ein Mittel verschreiben, um die Gebärmutter zu beruhigen. Manche Hündinnen fressen
bis ab dem 20.Tag für einige Tage gar nichts oder zumindest sehr wenig, In der Regel pegelt sich ihr Fressverhalten danach wieder ein.
Viele Hündinnen sind jetzt besonders anhänglich.
14.12.2015 Am 19. Tag setzen sich die Keimbläschen (sog. Blastocyten) in der Gebärmutterwand fest.
Diese formen embrionale Bläschen. Ab dem 21. Tag sondern viele Hündinnen zähflüssigen, klaren Schleim ab.
Das ist das eindeutigste Zeichen, dass der Deckakt geklappt hat.
4. Woche
22 - 28 Tag
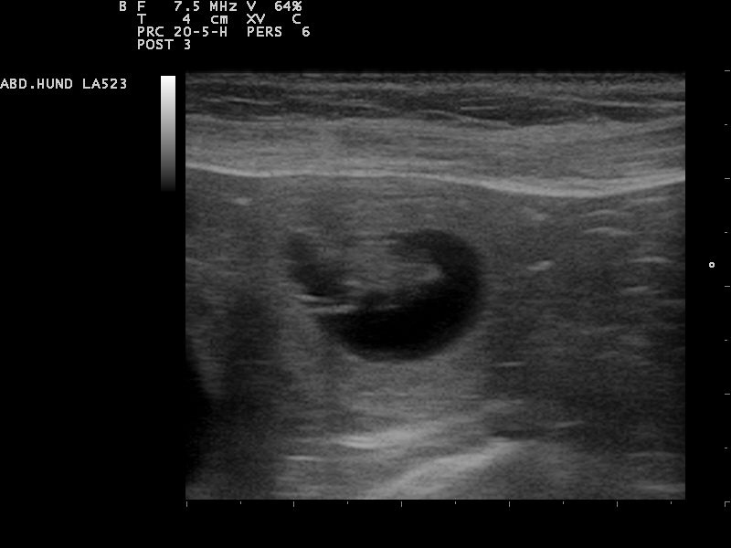
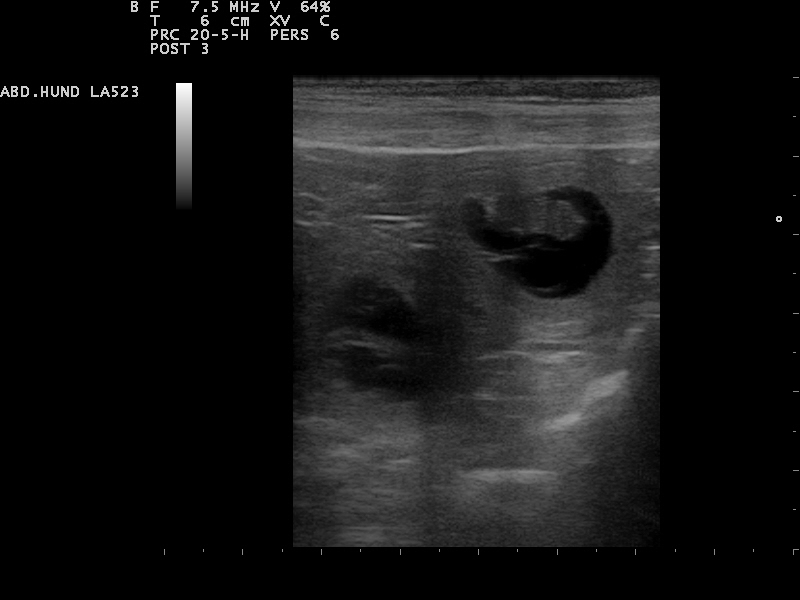
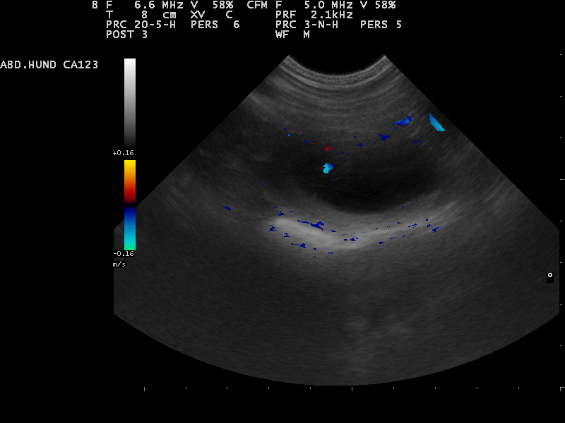
Am 22. Tag sind die Embryonen sichtbar. Der Herzschlag kann zur Diagnose der Trächtigkeit herangezogen werden. Anstrengende Aktivitäten sind
15.12.2015 jetzt zu vermeiden.Die Proteinzufuhr im Futter kann erhöht werden. Hierfür eignet sich sehr gut die Gabe von Welpenfutter. Zu diesem Zeitpunkt kann
mit einer Ultraschalluntersuchung der Zustand der Trächtigkeit festgestellt werden. Besprechen Sie mögliche Risiken einer solchen Untersuchung mit dem Tierarzt.
bis Die Augen und die Nervenstränge im Rückenmark werden gebildet. Die Organbildung beginnt. In dem derzeitigen Zustand sind die Embryonen sehr stark defektgefährdet.
Die Entwicklung der Zitzen beginnt.
22.12.2015 Dies ist der beste Zeitpunkt, um die Trächtigkeit anhand des Herzschlags zu diagnostizieren.
Die Embroynen sind etwas walnussgroß und sind gleichmäßig im Uterus verteilt.
Die Ultraschall-Untersuchung hat ergeben das Alexa trächtig ist und wir gespannt auf
unseren B-Wurf warten können
Das sind die ersten Bilder unseres B-Wurfes




5. Woche
29 - 35 Tag
Die Hündin hört auf, die Beine anzuziehen, weil das Gewicht ansteigt und die Welpen sich drehen.
23.12.2015 Das Anschwellen der weiblichen Scham wird merkbarer. Bitte achten Sie auf das Gewicht der Hündin und
überfüttern Sie nicht. Die Herzschlag ist aufgrund der ansteigenden Flüssigkeit in der Gebärmutter nicht mehr
bis länger als Diagnosemethode nutzbar. Zehen, Barthaare und Krallen beginnen sich zu entwickeln.
Die Ausbildung der Organe ist abgeschlossen.Die Föten sehen nun aus wie Hunde.
29.12.2015 Kopf und Rumpf sind unterscheidbar. Das Geschlecht ist bestimmbar.
Die Fellfarbe beginnt sich zu entwickeln. Der Herzschlag der Föten ist per Stetoskop hörbar.
Wie beim ersten Mal war diese Woche dadurch geprägt dass unsere werdende Mama nicht mehr alles fressen wollte,
was man ihr vorgesetzt hat. Da wurde ganz genau sortiert und geschaut was man denn mag. Inzwischen hat sie
es sich aber wieder anders überlegt und es schmeckt wieder.
6. Woche
36 - 42 Tag
Machen Sie die Hündin mit der Welpenbox vertraut. Lassen Sie sie dort schlafen. Erhöhen Sie die Anzahl der Mahlzeiten
30.12.2015 und behalten Sie ihr Gewicht im Auge.
bis Die Wurfkiste musste diesmal nicht neu eingerichtet werden, da diese seit dem A-Wurf ständig genutzt wurde.
Alexa hatte es sich angewöhnt darin zu schlafen und von daher habe ich ihr diese immer schon gemütlich eingerichtet.
05.01.2016 Wir werden also keine Eingewöhnungszeit brauchen.
7. Woche
43 - 49 Tag
Die Hündin sollte jetzt nicht mehr mit anderen Hunden rauhe Spiele spielen oder springen.
06.01.2016 Der Röntgenaufnahme lassen sich Anzahl und Größe der Hündchen bestimmen.
Die Hündin sollte nur dann geröntgt werden, wenn Schwangerschaftsprobleme auftauchen oder zu diesem
bis Zeitpunkt noch immer unsicher ist, ob sie tatsächlich Welpen bekommt.
(z.B. Verdacht auf Einfrüchtigkeit) Ansonsten stellt das Röntgen eine unnötige Belastung dar.
12.01.2016 Am 06.01.2016 war der 43. Tag der Trächtigkeit. Alexa geht es gut. Die Trächtigkeit ist jetzt nicht mehr
zu übersehen und sie nimmt von Tag zu Tag zu.
Heute (07.01.2016) habe ich den Bauchumfang von Alexa gemessen, weil er schon ordentich gewachsen ist.
Er misst aktuell 80 cm und sollte von daher auch im Rahmen liegen.



8. Woche
50 - 56 Tag
Die Hündin hat weniger Hunger, was durch den Platzmangel im Bauch verursacht wird. Unterrichten Sie
13.01.2016 Ihren Tierarzt über den zu erwartenden Geburtszeitpunkt und erörtern Sie mit ihm
mögliche Probleme. Stellen Sie die Utensilien für die Geburt zusammen und bereiten Sie alles vor.
bis Die Hündin verbringt sehr viel mehr Zeit mit der eigenen Körperpflege. Die Zitzen schwellen weiter an.
Die Hündin wird unruhiger und sucht einen geeigneten Platz fürs Werfen. Sorgen Sie dafür,
dass sie den Platz fürs Werfen so angenehm wie möglich vorfindet. Je nach Rasse kann man kleine Handtücher
20.01.2016 oder Waschlappen auf die Unterlage der Wurfkiste legen, um der Hündin Material bis für ihren "Nestbau" zu geben.
Füttern Sie mehrere kleinere Mahlzeiten am Tag, da der Bauch beengt ist. Die Bewegung der Welpen im Mutterleib
ist leicht erkennbar, wenn man die flache Hand vorsichtig auf den Bauch der Hündin legt. Sie muss dazu völlig entspannt sein.
Säubern Sie Bauch und Schambereich mit warmem Wasser. Kürzen Sie das Haar rund um die Zitzen, um den Welpen den
Zugang zu erleichtern.
11.01.2016 Alexa hat (fast genau wie bei der ersten Trächtigkeit) einen Fastentag eingelegt und schon (auch wie beim ersten Mal) wird
Frauchen unruhig.. Aber einen Tag später schmeckt alles wieder bestens und Frauchen`s Welt ist wieder in Ordnung.
9. Woche
57 - 63 Tag
Möglicherweise hat die Hündin keine Appetit mehr, wenn die Zeit der Niederkunft naht.
Die Hündin wird ruhelos und beginnt 'Nestbau' Verhalten zu zeigen.
Messen Sie nun morgens und abends die Temperatur der Hündin. Die normale Temperatur schwankt je
nach Rasse und Alter der Hündin zwischen 37,5 und 39,4 Grad Celsius.
Gerade wegen der großen Schwankungsbreite ist es wichtig, die normale Körpertemperatur zu kennen (Messungen 7. Woche).
Wenn die Temparatur um ca. 1,5 bis 2 Grad Celsius fällt, werden die Welpen innerhalb der
nächsten 6- 24 Stunden geboren.
Die Hündin wirkt möglicherweise unglücklich, ruhelos, läuft immer hin und her und fühlt sich offensichtlich unwohl.
Es kann sein, dass sich weisse Scheidenflüssigkeit absondert.
Der vorausberechnete Tag der Geburt. Viele Hündinnen werfen zwischen dem 58. und 63. Tag.
Einige lassen sich auch bis zum 66. Tag Zeit. Beobachten Sie Ihre Hündin vor allem
bei Verspätungen sehr genau. Übelriechender, dunkler Ausfluss ist ein Alarmzeichen, sofort den Tierarzt aufzusuchen.
Spätestens am 66. Tag muss ohnehin ein Tierarzt konsultiert werden.
Es könnten Geburtsprobleme wie zu große oder abgestorbene Welpen vorliegen.
Dann kann nur schnelles Handeln das Leben von Mutter und Welpen retten.
26.01.2016 Heute hat Alexa 11 Welpen (6 Rüden und 5 Weibchen) das Leben geschenkt.
Die Geburt ist ohne Probleme oder Komplikationen verlaufen.
Dieser Trächtigkeitskalender ist ein Service von
www.welpen.de
