Der Trächtigkeitskalender wird regelmäßig aktualisiert, so dass Interessenten die Entwicklung verfolgen können.
Dortmund, den 02.07.2014
Dieser Trächtigkeitskalender ist erstellt von www.welpen.de und ist sehr anschaulich und interessant für
den Züchter selber und Besucher der Homepage.
Super gemacht, vielen Dank an www.welpen.de.
1. Woche Für den Fall, dass Ihre Hündin Medikamente nehmen muss, gehen Sie bitte zum Tierarzt und besprechen
Sie die Medikamentenvergabe bevor Sie dem Tier ein Medikament verabreichen. Die Hündin sollte normal
gefüttert und normal bewegt werden. Bitte keine Insektizide benutzen oder Impfungen mit lebend Stoffen verabreichen.
1 - 7 Tag
05.06.2014 Erster Deckungstag. Sperma wandert ausserhalb der Gebärmutterschleimhaut. Um die Chancen einer Befruchtung
zu erhöhen, sollte der Deckakt innerhalb von 48 Stunden nach dem ersten Deckakt wiederholt werden.
06.06.2014 Sperma wandert zu den Eileitern. Die Spermien bleiben in den weiblichen Geschlechtsorganen eine Zeitlang
befruchtungsfähig. Bei den Säugetieren ist diese Zeit im allgemeinen recht kurz (ca. 24 Std).
06.06.2014
bis Sperma erreicht die Eileiter, in denen sich reife Eizellen befinden.
07.06.2014
07.06.2014
bis Befruchtung der Eizellen (in den Eileitern).
08.06.2014
08.06.2014
bis Die befruchteten Eizellen wandern in den Gebärmutterhals.
10.06.2014
2. Woche Pflege und Haltung der Hündin wie in Woche 1.
8 - 14 Tag
12.06.2014
bis Die Eizellen entwickeln sich zu Blastocyten.
16.06.2014
16.06.2014
bis Die Embryos erreichen die Gebärmutter.
18.06.2014
3. Woche
15 - 21 Tag Die Hündin leidet möglicherweise unter morgendlicher Übelkeit aufgrund der hormonellen Umstellung
oder Spannungen in der Gebärmutter.
Füttern Sie kleine Mahlzeiten mehrmals am Tag, um gegen die morgendliche Übelkeit zu helfen.
Falls die morgendliche Übelkeit anhält, kann der Tierarzt ein Mittel verschreiben, um die Gebärmutter zu
beruhigen. Manche Hündinnen fressen ab dem 20. Tag für einige Tage gar nichts oder zumindest sehr wenig,
In der Regel pegelt sich ihr Fressverhalten danach wieder ein. Viele Hündinnen sind jetzt besonders anhänglich.
19.06.2014
bis Am 19. Tag setzen sich die Keimbläschen (sog. Blastocyten) in der Gebärmutterwand fest.
Diese formen embrionale Bläschen. Ab dem 21. Tag sondern viele Hündinnen zähflüssigen, klaren Schleim ab.
24.06.2014 Das ist das eindeutigste Zeichen, dass der Deckakt geklappt hat.
4. Woche
22 - 28 Tag Am 22. Tag sind die Embryonen sichtbar. Der Herzschlag kann zur Diagnose der Trächtigkeit herangezogen
werden. Anstrengende Aktivitäten sind jetzt zu vermeiden. Die Proteinzufuhr im Futter kann erhöht werden.
Hierfür eignet sich sehr gut die Gabe von Welpenfutter. Zu diesem Zeitpunkt kann mit einer Ultraschalluntersuchung
der Zustand der Trächtigkeit festgestellt werden. Besprechen Sie mögliche Risiken einer solchen Untersuchung mit dem Tierarzt.
25.06.2014
bis Die Augen und die Nervenstränge im Rückenmark werden gebildet. Die Organbildung beginnt.
In dem derzeitigen Zustand sind die Embryonen sehr stark defektgefährdet. Die Entwicklung der Zitzen beginnt.
02.07.2014
30.06.2014
bis Dies ist der beste Zeitpunkt, um die Trächtigkeit anhand des Herzschlags zu diagnostizieren.
Die Embroynen sind etwas walnussgroß und sind gleichmäßig im Uterus verteilt.
04.07.2014
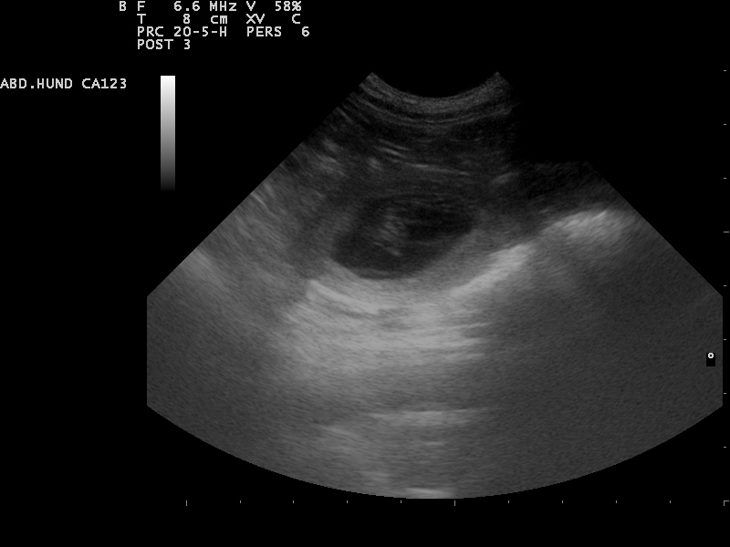
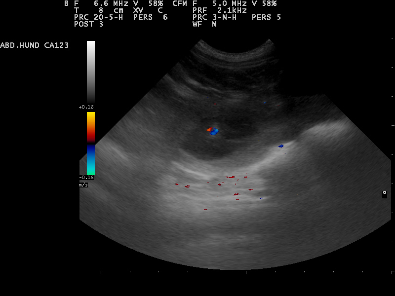
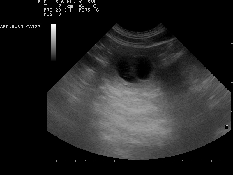
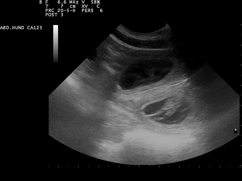
Am 01.07.2014 waren wir zur Ultraschalluntersuchung und konnten
die ersten Bilder unserer Welpen bewundern.




5. Woche
29 - 35 Tag Die Hündin hört auf, die Beine anzuziehen, weil das Gewicht ansteigt und die Welpen sich drehen.
Das Anschwellen der weiblichen Scham wird merkbarer. Bitte achten Sie auf das Gewicht der Hündin und
überfüttern Sie nicht. Die Herzschlag ist aufgrund der ansteigenden Flüssigkeit in der Gebärmutter nicht mehr
länger als Diagnosemethode nutzbar.
04.07.2014 Zehen, Barthaare und Krallen beginnen sich zu entwickeln.
09.07.2014 Die Ausbildung der Organe ist abgeschlossen.Die Föten sehen nun aus wie Hunde.
Kopf und Rumpf sind unterscheidbar. Das Geschlecht ist bestimmbar.
Die Fellfarbe beginnt sich zu entwickeln. Der Herzschlag der Föten ist per Stetoskop hörbar.
Die Zitzen der Hündin werden dunkler und schwellen an.
06.07.2014 Alexa hatte seit Freitrag mit Übelkeit zu kämpfen und wollte nicht richtig fressen, aber jetzt geht es ihr wieder
gut und alles ist wieder ok.
10.07.2014 Heute sind wir beim 35.Tag. Alexa hat sich wunderbar erholt und ist der Meinung, die Tage ohne Futter nachholen
zu müssen. Aber so wie uns der Trächtigkeitskalender (welpen.de) lehrt, werden wir ihr Gewicht im Auge behalten,
was doch sehr schwer fällt bei diesen hungrigen Blicken.
6. Woche
36 - 42 Tag Machen Sie die Hündin mit der Welpenbox vertraut. Lassen Sie sie dort schlafen. Erhöhen Sie die Anzahl der Mahlzeiten
und behalten Sie ihr Gewicht im Auge.
13.07.2014 Heute waren wir mit Luke, dem Vater der Welpen spazieren und Swantje hat schöne Bilder von den Beiden gemacht.


38. Tag der Trächtigkeit
14.07.2014 Welpenbox ist eingerichtet und wurde auch sofort von Alexa begutachtet und ausprobiert.
7. Woche
43 - 49 Tag Die Hündin sollte jetzt nicht mehr mit anderen Hunden rauhe Spiele spielen oder springen.
Der Röntgenaufnahme lassen sich Anzahl und Größe der Hündchen bestimmen.
Die Hündin sollte nur dann geröntgt werden, wenn Schwangerschaftsprobleme auftauchen oder zu diesem
Zeitpunkt noch immer unsicher ist, ob sie tatsächlich Welpen bekommt.
(z.B. Verdacht auf Einfrüchtigkeit) Ansonsten stellt das Röntgen eine unnötige Belastung dar.
17.07.2014 Heute haben wir den 43. Tag der Trächtigkeit. Alexa geht es gut. Die Trächtigkeit ist jetzt nicht mehr
zu übersehen und sie nimmt von Tag zu Tag zu.
22.07.2014 Heute habe ich den Bauchumfang von Alexa gemessen, weil ich nicht mehr weiß, wo dieser noch
hin will. Jetzt bin ich wieder beruhigt, es misst 82 cm, ist also für den 48. Tag normal.
Ab der
7. Woche Messen Sie der Hündin einmal täglich rektal die Temperatur und notieren diese Werte.
Die Knochen verstärken sich. Die Welpen können nun leicht unter der Bauchdecke ertastet jedoch
noch schlecht gezählt werden. Die Haare am Bauch der Hündin fallen aus.
23.07.2014 Heute waren wir beim Tierarzt und sie hat ihre zweite Herpesimpfung bekommen.
Das Gewicht und der Bauchumfang ist normal. Wir haben uns letzte Anweisungen für die Geburt
geben lassen. Die letzten vierzehn Tage sind angebrochen und die Aufregung steigt.
8. Woche
50 - 56 Tag Die Hündin hat weniger Hunger, was durch den Platzmangel im Bauch verursacht wird. Unterrichten Sie
Ihren Tierarzt über den zu erwartenden Geburtszeitpunkt und erörtern Sie mit ihm
mögliche Probleme. Stellen Sie die Utensilien für die Geburt zusammen und bereiten Sie alles vor.
26.07.2014 Die Hündin verbringt sehr viel mehr Zeit mit der eigenen Körperpflege. Die Zitzen schwellen weiter an.
Die Hündin wird unruhiger und sucht einen geeigneten Platz fürs Werfen. Sorgen Sie dafür,
dass sie den Platz fürs Werfen so angenehm wie möglich vorfindet. Je nach Rasse kann man kleine Handtücher
oder Waschlappen auf die Unterlage der Wurfkiste legen, um der Hündin Material bis für ihren "Nestbau" zu geben.
Füttern Sie mehrere kleinere Mahlzeiten am Tag, da der Bauch beengt ist. Die Bewegung der Welpen im Mutterleib
ist leicht erkennbar, wenn man die flache Hand vorsichtig auf den Bauch der
30.07.2014 Hündin legt. Sie muss dazu völlig entspannt sein.
Säubern Sie Bauch und Schambereich mit warmem Wasser. Kürzen Sie das Haar rund um die Zitzen,
um den Welpen den Zugang zu erleichtern.
26.07.2014 Alexa hat einen Fastentag eingelegt und schon wird man unruhig. Aber seit heute ist alles wieder bestens und
es schmeckt ihr auch wieder.
9. Woche
57 - 63 Tag
30.07.2014
Möglicherweise hat die Hündin keine Appetit mehr, wenn die Zeit der Niederkunft naht.
bis Die Hündin wird ruhelos und beginnt 'Nestbau' Verhalten zu zeigen.
06.08.2014
31.07.2014 Alexa hat am Bauchumfang noch zugenommen, Wir messen jetzt 86 cm. Im Moment ist sie sehr ruhig und
gemütlich. Vor allen Dingen an den Tagen wo es so heiß ist. Geht uns ja auch nicht besser. Heute haben wir neue
Bilder gemacht, die ich Ihnen nicht vorenthalten möchte. Jetzt noch eine Woche und unser Nachwuchs ist da.


04.08.2014 Messen Sie nun morgens und abends die Temperatur der Hündin. Die normale Temperatur schwankt je
nach Rasse und Alter der Hündin zwischen 37,5 und 39,4 Grad Celsius.
Gerade wegen der großen Schwankungsbreite ist es wichtig, die normale Körpertemperatur zu kennen (Messungen 7. Woche).
Wenn die Temparatur um ca. 1,5 bis 2 Grad Celsius fällt, werden die Welpen innerhalb der
nächsten 6- 24 Stunden geboren.
05.08.2014 Die Hündin wirkt möglicherweise unglücklich, ruhelos, läuft immer hin und her und fühlt sich offensichtlich unwohl.
Es kann sein, dass sich weisse Scheidenflüssigkeit absondert.
07.08.2014 Der vorausberechnete Tag der Geburt. Viele Hündinnen werfen zwischen dem 58. und 63. Tag.
Einige lassen sich auch bis zum 66. Tag Zeit. Beobachten Sie Ihre Hündin vor allem
bei Verspätungen sehr genau. Übelriechender, dunkler Ausfluss ist ein Alarmzeichen, sofort den Tierarzt aufzusuchen.
Spätestens am 66. Tag muss ohnehin ein Tierarzt konsultiert werden.
Es könnten Geburtsprobleme wie zu große oder abgestorbene Welpen vorliegen.
Dann kann nur schnelles Handeln das Leben von Mutter und Welpen retten.
07.08.2014 Pünktlich laut Trächtigkeitskalender hat Alexa 15 munteren Welpen das Leben geschenkt.
Dieser Trächtigkeitskalender ist ein Service von
www.welpen.de
